What Is Cancer Of Bone Marrow - How Are Bone Marrow Tests Used To Diagnose Blood Cancer - This is usually from your hip.
Dapatkan link
Facebook
X
Pinterest
Email
Aplikasi Lainnya
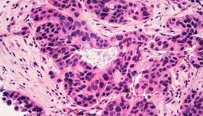
What Is Cancer Of Bone Marrow - How Are Bone Marrow Tests Used To Diagnose Blood Cancer - This is usually from your hip.. Mds is a type of cancer.mds damages some of the blood forming cells in the bone marrow, leading to low counts of one or more types of blood cells. In multiple myeloma, cancerous plasma cells accumulate in the bone marrow and crowd out healthy blood cells. This variety of bone cancer occurs most often in children and young adults, in the bones of the leg or arm. A stem cell transplant, also called a bone marrow transplant, can be used to treat certain types of cancer. These blood cancers are not discussed here.
Treatment of multiple myeloma focuses on decreasing the severity of symptoms with medications, stem cell transplants, bisphosphonate therapy, platelet transfusions. It can sometimes spread to other parts of the body including the lymph nodes, liver, spleen, central nervous system (brain and spinal cord), and testicles. Symptoms of bone marrow cancer The removal of bone marrow, blood, and a small piece of bone by inserting a hollow needle into the hipbone or breastbone. A pathologist views the bone marrow, blood, and bone under a microscope to look for signs of cancer.
Bone Marrow And Cancer Cells Survive In Ex Vivo Co Cultures A Download Scientific Diagram from www.researchgate.net In multiple myeloma, cancerous plasma cells accumulate in the bone marrow and crowd out healthy blood cells. A bone marrow aspiration and biopsy can be done in a hospital, clinic or doctor's office. Myeloma is a cancer that affects cells in the bone marrow, called plasma cells. Stem cell or bone marrow transplant. Overview multiple myeloma is a cancer that forms in a type of white blood cell called a plasma cell. Blood cancer cure is a common type of cancer majorly attacks the blood, bone marrow, or lymphatic system. Another cancer that starts in the bone marrow is leukemia. One of the more obvious and distinct signs of multiple myeloma is bone pain.
This can lead to anaemia, bleeding problems and infections.
Bone marrow is spongy tissue and fluid that is inside your bones. Bone marrow is the soft, spongy area inside most bones. After a small area of skin is numbed, a bone. These blood cancers are not discussed here. A stem cell or bone marrow transplant is an important treatment for some people with all. Here we'll explain stem cells and stem cell transplant, cover. Bone marrow cancer includes leukemias and multiple myeloma. Bone marrow is a soft, spongy tissue that is in the center of most bones. Healthy plasma cells help you fight infections by making antibodies that recognize and attack germs. Seek medical care for unexplained pain, nausea, vomiting, weight loss, vision problems, or chronic tingling or numbness.; Treatment of multiple myeloma focuses on decreasing the severity of symptoms with medications, stem cell transplants, bisphosphonate therapy, platelet transfusions. Mm usually affects older adults. Myeloma is a cancer that affects cells in the bone marrow, called plasma cells.
In adults, the bone marrow that makes the most blood cells. Bone marrow cancer includes leukemias and multiple myeloma. The bone marrow exam typically takes about 10 to 20 minutes. Bone marrow is the soft, spongy area inside most bones. Mm usually affects older adults.
Secondary Bone Cancer Overview Cancer Council Victoria from www.cancervic.org.au Acute myeloid leukemia (aml) starts in the bone marrow (the soft inner part of certain bones, where new blood cells are made), but most often it quickly moves into the blood, as well. Transplantation can be used to treat certain types of cancer, such as leukemia, myeloma, and lymphoma, and other blood and immune system diseases that affect the bone marrow. The procedures are usually done by a doctor who specializes in blood disorders (hematologist) or cancer (oncologist). The removal of bone marrow, blood, and a small piece of bone by inserting a hollow needle into the hipbone or breastbone. But bone marrow exams may also be performed by nurses with special training. Several types of cancer, including multiple myeloma, leukemia, and lymphoma, can develop in the bone marrow. This is usually from your hip. Leukemia is a type of cancer that occurs in the white blood cells of the blood, so it is also known as white blood cell cancer.
Cancer that starts in the bone marrow is called bone marrow cancer or blood cancer, not bone.
Bone marrow aspiration and biopsy: Another cancer that starts in the bone marrow is leukemia. A stem cell or bone marrow transplant is an important treatment for some people with all. The procedures are usually done by a doctor who specializes in blood disorders (hematologist) or cancer (oncologist). Enlarge bone marrow aspiration and biopsy. But bone marrow exams may also be performed by nurses with special training. You have a bone marrow test to check whether there are cancer cells in your bone marrow. White blood cells, which can be granulocytes or lymphocytes , develop in the bone. Healthy plasma cells help you fight infections by making antibodies that recognize and attack germs. Three significant kinds of blood cancers are as leukemia, lymphoma, and multiple myeloma. It can sometimes spread to other parts of the body including the lymph nodes, liver, spleen, central nervous system (brain and spinal cord), and testicles. In rare circumstances, osteosarcomas can arise outside of bones (extraskeletal osteosarcomas). Seek medical care for unexplained pain, nausea, vomiting, weight loss, vision problems, or chronic tingling or numbness.;
You have a bone marrow test to check whether there are cancer cells in your bone marrow. Mm usually affects older adults. White blood cells, which can be granulocytes or lymphocytes , develop in the bone. Bone marrow is spongy tissue and fluid that is inside your bones. This procedure might be called peripheral stem cell transplant or cord blood transplant, depending on where the stem cells come from.
Bone Marrow Transplant Cancer Treatments At Low Price Bone Marrow Treatment In India Treataid from www.treataid.com The outlook for mds varies, depending on factors. Myeloma is a cancer that affects cells in the bone marrow, called plasma cells. In a person with leukemia, for example, the bone marrow makes abnormal white blood cells, called leukemia cells. The procedures are usually done by a doctor who specializes in blood disorders (hematologist) or cancer (oncologist). These blood cancers are not discussed here. Unlike normal blood cells, leukemia cells don't die when they should. Bone marrow is the soft, spongy area inside most bones. Who can donate stem cells or bone marrow.
Mds is a type of cancer.mds damages some of the blood forming cells in the bone marrow, leading to low counts of one or more types of blood cells.
There is no cure for multiple myeloma. The most common cancer that starts in the bone marrow and causes bone tumors is called multiple myeloma. When it affects the plasma cells, it results in multiple myeloma. Several types of cancer, including multiple myeloma, leukemia, and lymphoma, can develop in the bone marrow. Here we'll explain stem cells and stem cell transplant, cover. Red bone marrow is where stem cells develop into red blood cells, white blood cells and platelets. Overview multiple myeloma is a cancer that forms in a type of white blood cell called a plasma cell. What is bone marrow cancer? Bone marrow is the soft, spongy area inside most bones. Other symptoms include bone pain, breaks (fractures) due to bone damage, and kidney damage. A bone marrow aspiration and biopsy can be done in a hospital, clinic or doctor's office. These are red and white blood cells and platelets. Cancer that starts in the bone marrow is called bone marrow cancer or blood cancer, not bone.
Entdecke rezepte, einrichtungsideen, stilinterpretationen und andere ideen zum ausprobieren. 壁纸 最近评论 最近的说明文字 最多赞数 最多查看 最多收藏 最多评论 热门合集 按标签 按颜色 iphone 13 iphone 12 galaxy s21 5g google pixel 5. 07.02.2018 · bitcoin was the first cryptocurrency out there, and it's still the biggest—for now, at least. What new features or updates are included in iphone firmware version 1.1.1? The term "altcoin" refers to any other cryptocurrency that's not bitcoin—in other words, they're alternatives to … Funny white cat | 4K wallpapers, free and easy to download from htc-wallpaper.com To change your whatsapp wallpaper on iphone or android, go to settings or the group info section of a. Where are iphone firmware files stored on my computer? What extension do iphone firmware files have? What new features or updates are included in iphone f...
Are Cancer And Sagittarius Compatible As Friends - sagittarius/ cancer on Pinterest | Sagittarius, Zodiac ... - Cancer and sagittarius compatibility, love and friendship cancer is a cardinal, water sign. . You can find this relationship between cancer and sagittarius & love compatibility horoscope detail useful for the type of relationships like friendship, dating, marriage and business. When sagittarius and cancer come together, there's plenty to share. Learn about the compatibility of all 12 astrological signs as it relates to the sagittarius man and sagittarius woman below. Cancers make great friends because you're funny, nurturing, and always ready to make your pals feel like a part of the family. Cancer and sagittarius are too different to be the kinds of friends that do everything together. Cancer and sagittarius enjoy both challenging and stimulating relationship. Since sagittarius is a social sign, they are great at talking to people, no matter w...
Make Eid Cards : 3 Simple Steps to Make Eid Exciting for our Kids! ( +FREE ... - Think about the purpose of the card, how many cards you will need, and what kind of design you want to use. . Create eid mubarak cards wish your friends or relative eid mubark with beautiful eid ul fitr greeting card with custome text or name. Eid mubarak greeting card | how to make greeting card for ramadan | paper greeting card | eid card in this video i am showing eid mubarak greeting card | how. The two cards in this set feature the same colourful design and beautiful illustration with the words eid mubarak written across one, and the approximate english translation happy eid written across the other. You cannot have a better greeting card design than this 3d butterfly card for eid. Make eid mubarak cards image online with my name. During this pandemic, if you haven't anything to do then you can make these homemade cards for your friends, mother, father, or for siblings. The two ...
Komentar
Posting Komentar