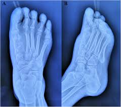
What Does Bone Cancer Of The Foot Look Like - Pdf Calcaneum Osteosarcoma A Rare Cause Of Heel Pain How To Prevent Delay In The Diagnosis And The Review Of Literature / They can be primary (originating in the bone) or secondary (originating in another part of the body).
Dapatkan link
Facebook
X
Pinterest
Email
Aplikasi Lainnya
What Does Bone Cancer Of The Foot Look Like - Pdf Calcaneum Osteosarcoma A Rare Cause Of Heel Pain How To Prevent Delay In The Diagnosis And The Review Of Literature / They can be primary (originating in the bone) or secondary (originating in another part of the body).. This makes it vulnerable for direct infection through punctured wounds and soft tissue infection. The majority of bone tumors are noncancerous. Bone pain can cause a dull or deep ache in a bone or bone region (e.g., back, pelvis, legs, ribs, arms). Foot or toe cancer (digital and soft tissue cancer), which can include squamous cell carcinoma, melanoma, osteosarcoma, mast cell tumor, and malignant soft tissue sarcoma is common in dogs. Ewing sarcoma also is more likely to be in kids and young.
The majority of bone tumors are noncancerous. Bone cancer can weaken the bone it's in, but most of the time the bones do not fracture (break). When examining an mri, an orthopedist will typically look for the following structures, which may indicate osteoarthritis: Osteosarcoma, the most common bone cancer, usually happens to people ages 10 to 30 and most often starts in the arms, legs, or pelvis. Keep friends and family close.
Wolf In Sheep S Clothing Metatarsal Osteosarcoma Mdedge Hematology And Oncology from cdn.mdedge.com Bone cancer can affect any bone, but most cases develop in the long bones of the legs or upper arms. Foot melanoma refers to cancer of the cells in the top layer of the skin on the foot. Local treatments focus on just the bone or bones where the cancer spread. Pain from bone tumors can originate from within the bone. Bone cancer can begin in any bone in the body, but it most commonly affects the pelvis or the long bones in the arms and legs. In fact, noncancerous bone tumors are much more common than cancerous ones. In some cases, doctors will notice a tumor around that particular area of the bone. Ask your doctor about your bone cancer, including your treatment options and, if you like, your prognosis.
There are different types of primary bone cancers, like osteosarcoma and ewing sarcoma.
It is important that all these symptoms are identified at an early stage so, to. Or, the cause of a symptom may be a different medical condition that is not cancer. In some cases, doctors will notice a tumor around that particular area of the bone. People with a fracture next to or through a bone tumor usually describe sudden severe pain in a bone that had been sore for a few months. Osteosarcoma, the most common bone cancer, usually happens to people ages 10 to 30 and most often starts in the arms, legs, or pelvis. See foot cancer stock video clips. The bone may look ragged, or it may appear to have a hole in it. Grade 2 (g2) falls somewhere in between. What bone metastasis looks like. Foot or toe cancer (digital and soft tissue cancer), which can include squamous cell carcinoma, melanoma, osteosarcoma, mast cell tumor, and malignant soft tissue sarcoma is common in dogs. They can be primary (originating in the bone) or secondary (originating in another part of the body). Lumps, swellings, fractures, joint tenderness and pain are some common symptoms of bone cancer in ankle and foot. Learn enough about bone cancer to make decisions about your care.
Occasionally a mass or swelling in the area. They can be primary (originating in the bone) or secondary (originating in another part of the body). As the cancer develops, though, the pain may become more persistent. They work to destroy the tumor or slow down the growth of cancer cells. Bone pain, often at night.
Dog Toe Xray Bone Cancer Or Infection Ask A Vet from www.askavetquestion.com Squamous cell carcinoma is the most common form of cancer on the skin of the feet. Sometimes, people with bone sarcoma do not have any of these changes. Pain caused by bone cancer usually begins with a feeling of tenderness in the affected bone. Bone cancer can affect any bone, but most cases develop in the long bones of the legs or upper arms. If detected in the early stages, foot cancer can be treated effectively. Ct scans are usually used to help form an initial bone cancer diagnosis and to see whether the cancer. Or, the cause of a symptom may be a different medical condition that is not cancer. Local treatments focus on just the bone or bones where the cancer spread.
Grade 3 (g3) means the cancer looks very abnormal.
Pain from bone tumors can originate from within the bone. Symptoms of a bone tumor may include: As you learn more about bone cancer, you may become more confident in making treatment decisions. The world health organization has identified 82 different benign and malignant foot lesions. Basal cell cancers may appear as pearly white bumps or patches that may ooze or crust and look like an open sore. Although rare, bone tumors can occur in the foot and ankle. Occasionally a mass or swelling in the area. Grade 1 (g1) means the cancer looks much like normal bone tissue. Sometimes, people with bone sarcoma do not have any of these changes. Each of these types of cancer has their own set of symptoms and treatment, but the main symptom in all of these is a swelling or ulcer on the foot or toe. Bone cancer can weaken the bone it's in, but most of the time the bones do not fracture (break). A benign bone tumor of the foot will manifest as a lump, with or without pain, whereas bone cancer is most often accompanied by pain at the location of the tumor. Whether primary or metastatic, cancer in the bones may present with symptoms such as increasing pain, swelling and/or a more sudden intense pain from a pathologic fracture —a fracture that occurs in a bone that has been weakened by the presence of tumor.
Lumps, swellings, fractures, joint tenderness and pain are some common symptoms of bone cancer in ankle and foot. Squamous cell carcinoma is the most common form of cancer on the skin of the feet. Early on, the pain may only occur at night, or when you are active. When a bone tumor grows, it presses on healthy bone tissue and can destroy it, which causes the following symptoms: The bone may look ragged, or it may appear to have a hole in it.
Bone Cancer Overview And More from www.verywellhealth.com Keep friends and family close. The tumor may extend into other bone tissue nearby like muscle or fat. When a bone tumor grows, it presses on healthy bone tissue and can destroy it, which causes the following symptoms: Pain caused by bone cancer usually begins with a feeling of tenderness in the affected bone. Ewing sarcoma also is more likely to be in kids and young. Early on, the pain may only occur at night, or when you are active. Basal cell cancers may appear as pearly white bumps or patches that may ooze or crust and look like an open sore. Foot melanoma refers to cancer of the cells in the top layer of the skin on the foot.
There are different types of primary bone cancers, like osteosarcoma and ewing sarcoma.
Primary bone cancer is rare, making up around 0.2 percent of all cancers, according to the american society of clinical oncology. Aside from looking like a changing mole, a melanoma on the foot can appear as a: Osteosarcoma, the most common bone cancer, usually happens to people ages 10 to 30 and most often starts in the arms, legs, or pelvis. Keep friends and family close. Grade 3 (g3) means the cancer looks very abnormal. Foot melanoma is a type of cancer which affects the skin cells of the feet. Bone cancer is rare, making up less than 1 percent of all cancers. A benign bone tumor of the foot will manifest as a lump, with or without pain, whereas bone cancer is most often accompanied by pain at the location of the tumor. Basal cell cancers may appear as pearly white bumps or patches that may ooze or crust and look like an open sore. They work to destroy the tumor or slow down the growth of cancer cells. Local treatments focus on just the bone or bones where the cancer spread. Bone infection in foot is relatively common, especially in the presence of other infectious processes in the foot. Lumps, swellings, fractures, joint tenderness and pain are some common symptoms of bone cancer in ankle and foot.
Entdecke rezepte, einrichtungsideen, stilinterpretationen und andere ideen zum ausprobieren. 壁纸 最近评论 最近的说明文字 最多赞数 最多查看 最多收藏 最多评论 热门合集 按标签 按颜色 iphone 13 iphone 12 galaxy s21 5g google pixel 5. 07.02.2018 · bitcoin was the first cryptocurrency out there, and it's still the biggest—for now, at least. What new features or updates are included in iphone firmware version 1.1.1? The term "altcoin" refers to any other cryptocurrency that's not bitcoin—in other words, they're alternatives to … Funny white cat | 4K wallpapers, free and easy to download from htc-wallpaper.com To change your whatsapp wallpaper on iphone or android, go to settings or the group info section of a. Where are iphone firmware files stored on my computer? What extension do iphone firmware files have? What new features or updates are included in iphone f...
Make Eid Cards : 3 Simple Steps to Make Eid Exciting for our Kids! ( +FREE ... - Think about the purpose of the card, how many cards you will need, and what kind of design you want to use. . Create eid mubarak cards wish your friends or relative eid mubark with beautiful eid ul fitr greeting card with custome text or name. Eid mubarak greeting card | how to make greeting card for ramadan | paper greeting card | eid card in this video i am showing eid mubarak greeting card | how. The two cards in this set feature the same colourful design and beautiful illustration with the words eid mubarak written across one, and the approximate english translation happy eid written across the other. You cannot have a better greeting card design than this 3d butterfly card for eid. Make eid mubarak cards image online with my name. During this pandemic, if you haven't anything to do then you can make these homemade cards for your friends, mother, father, or for siblings. The two ...
Are Cancer And Sagittarius Compatible As Friends - sagittarius/ cancer on Pinterest | Sagittarius, Zodiac ... - Cancer and sagittarius compatibility, love and friendship cancer is a cardinal, water sign. . You can find this relationship between cancer and sagittarius & love compatibility horoscope detail useful for the type of relationships like friendship, dating, marriage and business. When sagittarius and cancer come together, there's plenty to share. Learn about the compatibility of all 12 astrological signs as it relates to the sagittarius man and sagittarius woman below. Cancers make great friends because you're funny, nurturing, and always ready to make your pals feel like a part of the family. Cancer and sagittarius are too different to be the kinds of friends that do everything together. Cancer and sagittarius enjoy both challenging and stimulating relationship. Since sagittarius is a social sign, they are great at talking to people, no matter w...
Komentar
Posting Komentar